• Specifie an alternate text for an image
    Breast Cancer
    Read the stories of ASCP Patient Champions Cindy and Michelle and learn about
    the role of laboratory testing in the diagnosis and treatment of breast cancer.

What is Invasive Carcinoma?

Invasive Ductal Carcinoma, the most common type of invasive breast cancer, makes up about 80 percent of all breast cancers. It is a cancer that starts in the milk ducts and spreads to the surrounding breast tissues. Invasion means the cancer has broken through the normal milk duct structure. It can spread further to the lymph nodes and potentially other areas of the body (metastatic disease).

Specifie an alternate text for an image

Ductal carcinoma on histology.

What is Metastatic Breast Cancer?

Metastatic breast cancer, or stage 4 breast cancer, is breast cancer that has spread to other organs of the body beyond the breast.

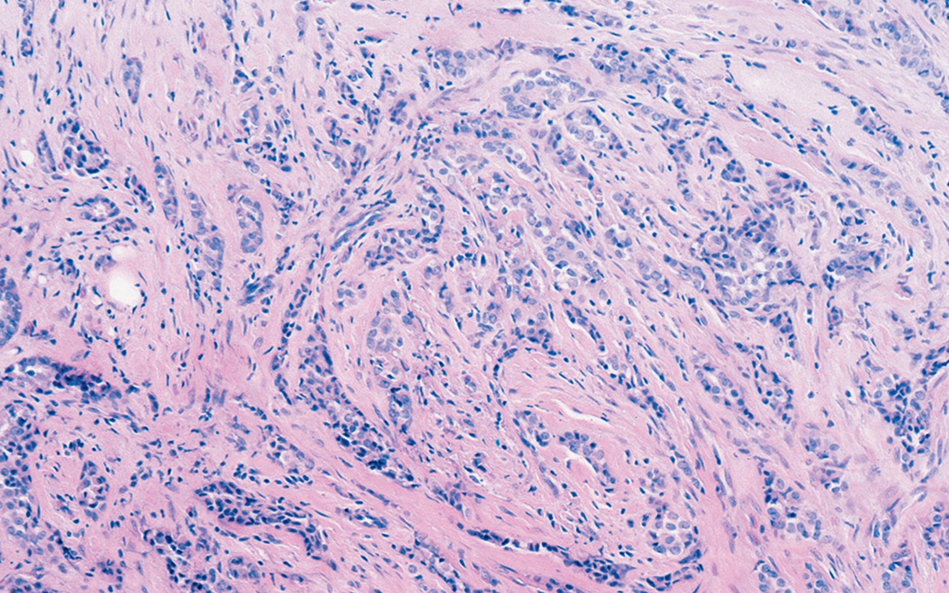
Specifie an alternate text for an image

Carcinoma of the breast that has metastasized to the lymph nodes.

Michele's Story

In 2006, at age 46, a newlywed Michele went home and told her husband of eight months, Ray, that she had been diagnosed with breast cancer. She had Stage 1 Invasive Ductal Carcinoma. Her biopsy showed that the cancer was small--.9 cm, about the size of a pencil eraser—and hadn’t spread to lymph nodes. The couple vowed that they would fight Michele’s disease together. But not 30 minutes later, Ray suffered a stroke, and a month later passed away.

A week after her husband’s death, Michele started her treatment journey for her cancer, while at the same time dealing with the fallout from losing her husband. In such a short period of time, she had lost her home, her health, and financial stability, and it was a scary, lonely time for Michele.

Prior to her surgery, she had agreed to an experimental test on the tumor once it was removed. Michele had to pay for the test out of pocket to the tune of $3,500—a serious financial burden at the time—but the results of the test could determine whether or not she was a good candidate for chemotherapy. The laboratory test results showed that she had an intermediate risk of recurrence—and chemo may or may not help. With the advice of her doctor, Michele decided to go through with chemo anyway; she wanted to be certain she had done everything possible to beat the disease.

What followed were years of surgery, chemotherapy, radiation, and years of adjunctive therapy for what turned to be a Stage 1 Grade 2, aggressive tumor. Nine years later, in 2015 she completed the final phase of her treatment plan. She is currently in remission, but struggles with the possibility of recurrence, and the many side effects of the cancer drugs.

Specifie an alternate text for an image

In 2018, Michele was diagnosed with osteoporosis. After her endocrinologist ordered blood work and urine studies, Michele contacted Dr. Keren, a pathologist at Michigan Medicine, to help her understand the results. He took the time, she says, to understand her history and diagnosis, and explained what the numbers of her tests meant, and this proved the catalyst to her discovery that a migraine drug she’d been taking was the primary cause of her osteoporosis as well as other issues she was having, such as hair loss and severe leg cramps. Understanding her laboratory reports has helped her in her treatments for this latest diagnosis.

Despite her worries, Michele doesn’t let her cancer define her. She stays current on literature, and is encouraged by the strides that have been made in immunotherapy and targeted therapies. Before her cancer diagnosis Michele didn’t know she could see her pathology report or speak to a Pathologist. However, a meeting with Dr. Myers, a pathologist at Michigan Medicine changed all that.  He showed Michele her tumor slides and explained pathology report in detail.  “Understanding what tests are ordered and what the lab work means is empowering. The knowledge you gain can be transformative. It was for me! Pathology is at the core of every diagnosis,” Michele says. “Understanding what tests are ordered and what the lab work means is empowering.”

Cindy’s Story

The inspiration for Patient Champions, Cindy was an ambassador to empower and educate patients and raise awareness of the crucial role the medical laboratory plays in patient care. By sharing her story, Cindy continues to encourage other patients to ask the right questions and understand their treatment options.

Cindy was also an inaugural member of the Patient Champions Advisory Board and served on that Board until her passing. Cindy was the first to receive the ASCP Patient Champion Award in September 2017, presented by ASCP Chief Executive Officer E. Blair Holladay, PhD, MASCP, SCT(ASCP)CM, and ASCP Patient Champions. This award recognizes a Patient Champion who has gone above and beyond in his/her activities to increase awareness of the laboratory.

Cindy was passionate about service, volunteering, and her work as a laboratory professional. She was an active volunteer for ASCP and the laboratory profession throughout her career.

Specifie an alternate text for an image
The first Patient Champion, Cindy Johns shares her story of battling metastatic breast cancer.

Questions To Ask Your Doctor

  • What is the course of action based on my lab results?
  • How will the lab results impact my treatment plan?
  • What are all my treatment options?
  • Why do you recommend this particular treatment option?
  • How do we know the procedure was successful/what lab tests and which results indicate a successful procedure?
  • What are the tumor markers we are monitoring? What are the levels we are hoping for? What happens if the tumor markers are higher than we would like to see?
  • What are the follow-up tests and what are we looking for?
Specifie an alternate text for an image