• Specifie an alternate text for an image
    Leukemia
    Read the story of ASCP Patient Champion DeeDee and learn about the role
    of laboratory testing in the diagnosis and treatment of leukemia.

What is Chronic Lymphocytic Leukemia?

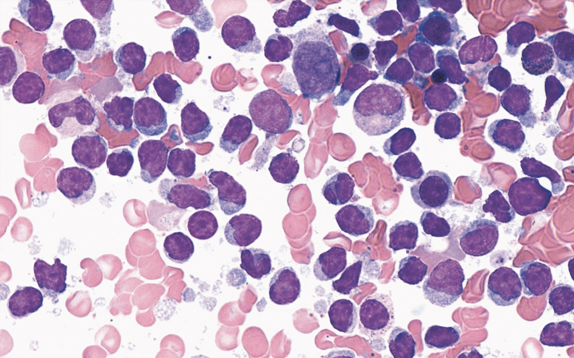
Leukemia is a cancer of white blood cells that begins in the bone marrow. In chronic lymphocytic leukemia, a specific type of white blood cell—the lymphocyte—becomes cancerous. CLL is the most common type of leukemia in adults.

Specifie an alternate text for an image

Chronic lymphocytic leukemia is characterized by an abundance of immature lymphocytes (a type of white blood cell) in the bone marrow.

DeeDee’s Story

For DeeDee, Chronic Lymphocytic Leukemia is a Family Affair. When her mother had Chronic Lymphocytic Leukemia (CLL), Deedee learned to read and understand lab results. When she received the same diagnosis years later, Deedee met with her pathologist to discuss her case and treatment.

DeeDee's life has been about helping others. She is the Executive Director of Ironstone Farm, a non-profit organization in Lowell, MA, that provides one of the largest equine therapy programs in the United States for people with disabilities and illnesses. She was the primary caretaker for her mother when she was diagnosed with Chronic Lymphocytic Leukemia (CLL), and she assumed care for her friend and business partner Richard Donovan as he experienced cognitive and physical deterioration. She became the public member of the Board of Governors at the Board of Certification at the American Society for Clinical Pathology in 2007. As it turned out, all these experiences helped inform her response for three life-altering diagnoses: renal cell carcinoma in 2007, a non-malignant meningioma brain tumor in 2009, and CLL in 2017.

Over the course of managing care for others and herself as well as volunteering for a laboratory medicine organization, DeeDee not only learned about the importance of laboratory results but the dedication of the people who provide them. While most people never come in contact with the laboratory professionals and pathologists that are responsible for their results, DeeDee is aware that these people work tirelessly behind closed doors to ensure accurate results and diagnoses that affect patient’s lives. During each of her diagnoses, she learned as much as possible about the disease, including asking questions about her laboratory results until she fully understood the answers. It’s her wish that the general public be educated in the role of the laboratory and its value in every aspect in healthcare. This education includes access to laboratory results as well as access to pathologists and tours of the laboratory.

Specifie an alternate text for an image

Living with each of her diagnoses has given DeeDee clarity of purpose. Before, work consumed her life. While her work with Ironstone Farm is still an integral part of her life now, she recognizes the value of truly experiencing life. She takes the time to eat right and get enough sleep. She spends time with people she loves, she’s learning to dance, and she’s recently traveled to Israel and Italy. Her life is fuller than it’s ever been before.

While DeeDee wasn’t unsurprised by her Chronic Lymphocytic Leukemia diagnosis—her mother and brother had also battled the disease, and she was experiencing symptoms—the conversation felt surreal. Throughout her and her family’s illnesses, she learned to ask questions about laboratory results. Now she’s paying those lessons forward.

For DeeDee, Chronic Lymphocytic Leukemia is a Family Affair. When her mother had Chronic Lymphocytic Leukemia (CLL), Deedee learned to read and understand lab results. When she received the same diagnosis years later, Deedee met with her pathologist to discuss her case and treatment.
Specifie an alternate text for an image